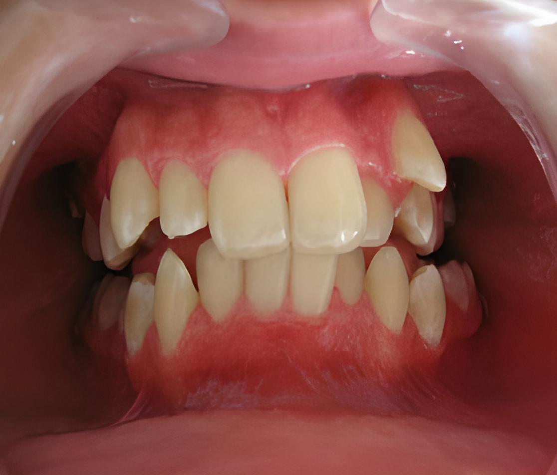
Centra su desarrollo en el tratamiento de las maloclusiones dento-esqueléticas de los adolescentes, adultos jóvenes y de los adultos mayores. Sus diversas terapéuticas básicamente se centran en el manejo y corrección de las anomalías dentales con la utilización de aparatologías fijas tipo brackets, bandas y arcos. Cada vez más en todas las latitudes se reconoce la necesidad de abordar en los pacientes que ya han finalizado su crecimiento y su desarrollo –caso de los adolescentes, adultos jóvenes y los adultos mayores- la corrección de desequilibrios de posición, forma y tamaño de dientes y maxilares que no recibieron tratamientos tempranos y oportunos.
Los avances innegables de la ORTODONCIA CORRECTIVA en campos biotecnológicos y científicos permiten ofrecer hoy a los pacientes que así requieren tratamientos de corta duración (14 a 18 meses), refinados en su disposición final, más económicos y libres de tantos efectos negativos como los presentados con tratamientos convencionales implementados hasta hace muy poco tiempo.
Centra su desarrollo en el tratamiento de las maloclusiones dento-esqueléticas de los adolescentes, adultos jóvenes y de los adultos mayores. Sus diversas terapéuticas básicamente se centran en el manejo y corrección de las anomalías dentales con la utilización de aparatologías fijas tipo brackets, bandas y arcos. Cada vez más en todas las latitudes se reconoce la necesidad de abordar en los pacientes que ya han finalizado su crecimiento y su desarrollo –caso de los adolescentes, adultos jóvenes y los adultos mayores- la corrección de desequilibrios de posición, forma y tamaño de dientes y maxilares que no recibieron tratamientos tempranos y oportunos.
Los avances innegables de la ORTODONCIA CORRECTIVA en campos biotecnológicos y científicos permiten ofrecer hoy a los pacientes que así requieren tratamientos de corta duración (14 a 18 meses), refinados en su disposición final, más económicos y libres de tantos efectos negativos como los presentados con tratamientos convencionales implementados hasta hace muy poco tiempo.

