Los frentes de atención que corresponda a esta área son:
- PROTECCIÓN ESPECÍFICA PARA CARIES DENTAL:
Con Flúor, sellantes y resinas preventivas.
- EDUCACIÓN E INSTRUCCIÓN DE HIGIENE ORAL:
uso de cepillo dental, manejo de la seda dental y empleo de antisépticos orales.
Se realiza en presencia del paciente pero haciendo énfasis en la participación de
los padres o adultos responsables del menor.
- MANEJO DE PACIENTES CON COMPROMISO SISTÉMICO O ESPECIALES
hace relación a la atención odontológica especializada de niños con problema renal, cardiaco, con alergias, hipotiroideos e hipertiroideos, niños con discrasias sanguíneas, niños con problemas oncológicos (cáncer, por ejemplo, la leucemia).
La atención de este tipo de pacientes requiere necesariamente del odontólogo especialista en Odontología Pediátrica.
Las múltiples características propias de cada uno de los pacientes sistémicamente comprometidos, son un campo muy extenso del conocimiento, su abordaje y manejo requiere casi siempre de la interconsulta con otras especialidades médicas.
El Odontólogo Pediatra es el idóneo y adecuado profesional de salud para liderar la atención de este tipo particular de niños en el área de la estomatología.
De igual manera la atención de niños sordos, invidentes, con retardo mental leve, moderado o severo, niños con autismo y pacientes con malformaciones genéticas especialmente: labio y/o paladar fisurado, macrostomia y otros síndromes asociados, forman parte del campo de acción del Odontólogo Pediatra.
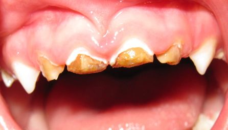
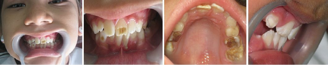
- MANEJO DE LA CARIES DE LA INFANCIA TEMPRANA
Esta es una de las problemáticas de salud pública que de manera desafortunada no tiene programas de atención de amplia cobertura por la complejidad de su manejo integral.
Los pacientes que son afectados por esta entidad siempre son de difícil manejo, tanto en lo comportamental como en la dificultad propia de la rehabilitación necesaria para cada caso especial.
MASIVAS DESTRUCCIONES DE LAS CORONAS DENTALES POR CARIES EN LA DENTICION TEMPORAL.
Esta entidad requiere siempre tratamiento direccionado y ejecutado por especialista en Odontología Pediátrica, cuya formación y experiencia permitan desarrollar los cambios en el contexto familiar y la eliminación de focos sépticos y rehabilitación correspondiente necesaria en estos pacientes.
PACIENTE CON TRATAMIENTO FINALIZADO
Optima rehabilitación lograda en 6 meses de tratamiento, donde la educación de la familia fue factor fundamental de éxito
- TERAPEUTICA PULPAR EN DENTICION TEMPORAL
caries dental y el trauma favorecen la infección y daño del tejido pulpar de los dientes deciduos. Los tratamientos de endodoncia en esta dentición contribuyen a mantener los elementos dentales comprometidos en forma adecuada hasta la época normal del recambio.
Los tratamientos de endodoncia son procedimientos de práctica exclusiva del Odontólogo Pediatra. Se requiere de gran conocimeinto científico y de un manejo instrumental refinado que permita el éxito en los procedimientos.
- MANEJO DE REHABILITACIÓN ORAL
hace relación a la atención de operatoria dental (calzas), colocación de coronas de acero, formas plásticas, coronas de policarboxilato, coronas acrílicas y prótesis fijas y/o removibles en niños que así lo requieran.
REHABILITACION ORAL CON PROTESIS EN PACIENTES PEDIATRICOS.
La pérdida temprana de la dentición temporal ocasiona múltiples problemas a nivel: fonético, de la deglución, de la ubicación posterior de los dientes definitivos, estéticos, del desarrollo maxilar y mandibular. Por estas razones la rehabilitación protésica de estos pacientes es mandatoria y corresponde su ejecución al especialista en Odontología Integral del Niño.
- ALTERACIONES DEL DESARROLLO DENTAL
• Amelogénesis dental
• Hipoplasias del esmalte
• Fluorosis dental
• Anodoncias
• Supernumerarios
La corrección oportuna de estas lesiones, se lleva a cabo a partir de un diagnóstico acertado, producto este, del estudio completo de cada caso y que permite con diagnósticos diferenciales y análisis integral de la información recogida en la historia clínica, una óptima rehabilitación de los pacientes.
- CIRUGIA ORAL EN PACIENTES PEDIATRICOS:
procedimientos que realiza el Odontólogo Pediatra para solucionar diversas situaciones mediante actos quirúrgicos. Las frenillectomias, los quistes de retención salivar, los odontomas y algunas correcciones originadas en traumas se encuentran en este grupo.
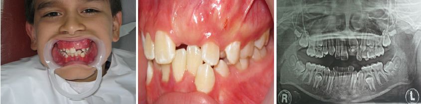
PACIENTE PEDIATRICO DE 10 AÑOS DE EDAD CON DIAGNOSTICO DE ODONTOMA.
PROCEDIMIENTO QUIRURGICO DE ELIMINACION DEL ODONTOMA
- TRAUMA DENTOALVEOLAR Y MAXILAR:
Cada vez son más frecuentes en la consulta particular e institucional, las lesiones de origen traumático en la dentición temporal y permanente joven.
Fracturas coronales, fracturas radiculares, luxaciones dentales, abrasiones y erosiones, avulsiones son entre otras situaciones de manejo urgente y que requieren el tratamiento oportuno por parte del especialista en Odontología Pediátrica que favorezca óptimos pronósticos y resultados adecuados.
- MANEJO DE HABITOS ORALES:
• Succión Digital
• Onicofagia
Considerados factores etiológicos de alteración en el crecimiento y desarrollo dento-maxilo-facial, generalmente tienen una base emocional que debe ser manejada durante las correcciones producidas a nivel dental y/o maxilar.
Las alteraciones estructurales que los hábitos orales producen en cara y boca generalmente requieren intervención ortopédica y ortodóntica temprana por parte del Odontólogo Pediatra para restituir los equilibrios perdidos de forma y función.
Este servicio favorece la atención de específicas situaciones de alta complejidad en odontología en un solo momento operativo.
Atender niños con parálisis cerebral, retardo mental severo, síndromes diversos, entre ellos Down, son de muy difícil manejo en una consulta ambulatoria. De igual manera muchos procedimientos quirúrgicos extensos se llevan a cabo en un ambiente más tranquilo, sin dolor y sin las incomodidades propias de la consulta ambulatoria cuando los pacientes son manejados con anestesia general.
La atención odontológica integral bajo anestesia general se ofrece para ser realizada en quirófano con toda la rigurosidad técnico-científica propia de estas áreas y con el equipamiento necesario para implementar los procesos terapéuticos con la participación del anestesiólogo, instrumentadora, asistente odontológica y el especialista en odontología que ejecuta el acto operativo.
