Universidad Nacional de Colombia
Rehabilitación Oral
Estética Dental
Es el procedimiento mediante el cual se busca cambiar el color de los dientes que por causas internas (tratamientos de conductos, por ejemplo) o externas (café, cigarrillo) han perdido su matiz natural y se han tornado mas oscuros o con tonalidades amarillas y grises. Se ejecuta mediante la aplicación de sustancias especificas dependiendo de cada caso. Se puede realizar en el consultorio o en casa con la supervisión del profesional.
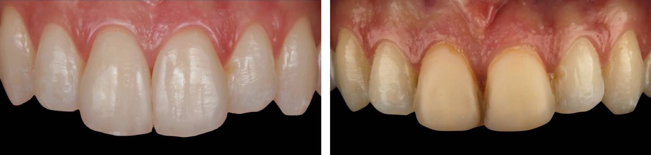
Es un procedimiento especifico para dientes anteriores que han perdido su color o han sido afectados por caries dental o fracturas y requieren una reconstrucción grande que involucre una parte importante del tejido dental. Se realiza con técnica directa en el consultorio a expensas de resinas de alta estética o en técnica indirecta o en conjunto con el laboratorio dental en cerámicas ultima generación (tipo zirconio, por ejemplo)
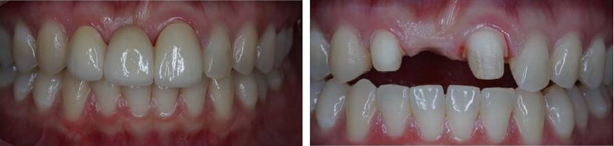
Consiste en la elaboración de coronas completas preferiblemente en material solo cerámico para reemplazar parte de la estructura dental perdida cuando no es posible hacerlo con carillas, por la extensión del daño en el diente.
Es un procedimiento científico que busca modificar, color, textura, forma y tamaño de los elementos dentales anteriores para que en su conjunto ofrezcan una visual armónica, equilibrada y acorde con la cara de cada paciente determinando una mejora significativa en aspectos funcionales como hablar y sonreir. Este procedimiento se ejecuta luego de varios estudios que deben ser realizados para cada caso individual que permitan definir el tipo de técnica a utilizar y los materiales a emplear.
