Blog y Noticias

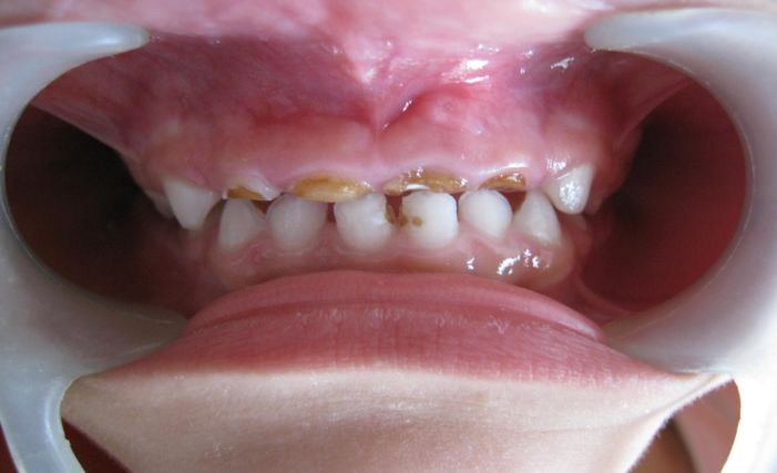
CARIES DE LA INFANCIA TEMPRANA (CARIES DEL BIBERON)

Blog Dr Eduardo Estupiñan Odontologo Ibague Colombia

Es una enfermedad que afecta a los niños en sus primeros años de vida y compromete particularmente los dientes de la primera dentición (dientes de leche o dientes temporales) y en algunos casos logra la afectación de los primeros dientes permanentes que empiezan a aparecer hacia los 6 años.

La enfermedad se caracteriza por una destrucción rápida y masiva de estos elementos dentales generando dolor, incapacidad para comer, para hablar para deglutir y si no hay un tratamiento adecuado y a tiempo, los estadios de la enfermedad avanzan y las infecciones se establecen en la cavidad oral y en muchos casos se diseminan a otros sitios de la boca e inclusive de partes del cuerpo diferentes a la cavidad oral.

La causa mas frecuente reconocida de la caries de la infancia temprana es el consumo de carbohidratos contenidos en el biberón con diversos contenidos como leche, jugos, gaseosas, agua de panela, coladas o cualquier otra bebida con alto contenido de azúcar; la leche materna es considerado otro elemento que también produce caries de la infancia temprana.

Blog Dr Eduardo Estupiñan Odontologo Ibague Colombia

El reconocimiento que hoy existe en todo el mundo para el tratamiento de esta enfermedad implica disminuir y/o suspender en forma radical el consumo de estos alimentos azucarados particularmente antes de ir a dormir y siempre SIEMPRE hay necesidad de hacer una higiene adecuada antes de acostar a los niños. Teteros durante la noche, mantener los bebes pegados al seno materno está contraindicado.

La caries de la infancia temprana puede ser causante de perdida prematura de la dentición temporal, y esta condición dada por grandes destrucciones o infecciones producidas por la enfermedad, causa otra gran cantidad de problemas en la salud general de los niños, su bienestar se ve muy afectado, su capacidad de masticar, de hablar, de socializar, de procesar adecuadamente los nutrientes que le aporta su alimentación.

A los papas, mamas, abuelos, cuidadores y en general a los adultos que están con los compromisos de ser responsables de los niños, se les debe recordar la importancia de eliminar el consumo de bebidas azucaradas antes de dormir, evitar que se acuesten con teteros en la boca o con el seno materno, pero lo mas importante de todo para prevenir esta enfermedad es hacer una óptima higiene oral antes de dormir, esto evitara multitud de problemas en el niño, en el futuro adolescente y en el adulto.



Blog Dr Eduardo Estupiñan Odontologo Ibague Colombia

Dr. Eduardo Estupiñan

Especialista Odontología Pediátrica en Ibagué y Colombia.
Más de 43 años de experiencia.

SOLICITA TU CITA

Agendar Cita
43
Años de Experiencia
5 k+
Pacientes Atendidos
10 +
Reconocimientos
Académicos y Profesionales
3 k+
Familias Alegres